The tumor in Simrit’s foot wasn’t cancerous. But it was definitely causing a lot of worry.
The trouble started when Simrit was 15. “Sometimes my right foot would swell up after a soccer game or cross-country practice,” says Simrit, now 23. “For a while, I just iced it. It didn’t seem like that big of a deal.”
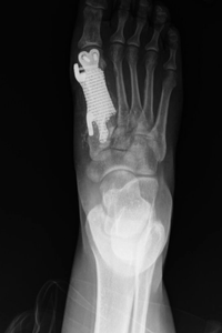
Her pediatrician thought otherwise and ordered X-rays, which showed a tumor on her right first metatarsal — the long bone that connects the big toe to the foot. Simrit had surgery to remove the tumor, and her biopsy results confirmed she had a condition called giant cell tumor of bone. This rare disease is known for coming back and can even spread from the bones to the lungs. Later scans showed Simrit had developed small tumors in her lungs.
Simrit’s pediatric care team recommended she start taking a targeted drug to help keep the disease under control. The hope was that within a year or two, the tumors would stop growing or even go away. She did well on the drug for about three years, and her care team discontinued it, anticipating she might not need it anymore.
Unfortunately, the foot tumor began growing fast. “My foot started to hurt a lot — sometimes just a nagging pain, but sometimes I could barely walk,” Simrit says. “I started taking the medicine again, but by then my tumor was really big. On my right foot, I could only wear a larger, wider-width tennis shoe.”

With no off-the-shelf implant available, Dr. Kadakia would need to work with a manufacturer to design and 3D-print a new metatarsal. It was a somewhat experimental approach. “I’ve only read about one or two other cases in the country,” he explains.
The surgery was a success. When Simrit woke up, she was thrilled to learn that the implant was a perfect fit. Next came extended bed rest, followed by physical therapy a few months later.
Simrit saw Dr. Kadakia often for follow-up care. By March, she was out of the boot, and a few weeks later, she set aside her crutches. As graduation approached, Simrit could walk normally. “That’s when I realized I might be able to wear heels to my graduation,” she says. “I hadn’t worn pretty shoes in so long — I was sort of stuck with sensible styles. I tried on a pair, and they felt good! I wore them for the ceremony and for photos. It was great.”
.jpg)
